- 发布人:xnxy120
- 时间:2023-12-15
- 来源:
- 浏览量:1228
本网讯(通讯员 曾维军)2023年5月,作为第十批湖南郴州医疗援疆队成员,我怀着满腔的报国热情,踏上
了援疆之路。我是湘南学院附属医院神经内科第三批到新疆托克逊县人民医院援助的医师。如何让托克逊县卒中病人得到更好就治,如何让县人民医院神经内科学科建设更进一步发展,这是我一路上一直思考的问题。入疆后,经过短暂的调整,我很快融入到县人民医院神经内科工作中。
进疆工作以来,了解到托克逊县是脑血管病高发地区,县人民医院在前两批附院神经内科援疆专家指导下已开展静脉溶栓绿色通道救治,成立了独立神经内科学科,2023年1月至5月以来,已行静脉溶栓病人28例。让许多时间窗内的急性缺血性脑卒中病人得到有效治疗,但对于卒中病历的书写及环节质控依然存在不足。
我多次组织科内人员培训,制定绿色通道奖惩制度,提高卒中患者病历书写质量,优化卒中病人救治流程。部分病人在时间窗内不适宜行阿替普酶静脉溶栓治疗,能让这部分病人进一步行血管内介入治疗,也是我接下来要开展的一项重要工作。

援疆专家神经内科曾维军主持卒中例会,制定卒中中心奖惩制度
2023年10月12日,72岁的维吾尔族大妈,因左侧肢体瘫2小时入院。患者左侧肢体不能在床上挪动,并出现嗜睡。虽然发病时间处于静脉溶栓时间窗内,但患者既往有颅内出血病史,结合临床症状和相关神经功能评估,不排除大血管病变。我与患者及家属积极沟通,决定行血管内介入治疗。快速完成全脑血管造影术,造影结果显示患者主干血管未见明显充盈缺损,此次责任血管考虑为右侧大脑中动脉穿支血管闭塞导致患者偏瘫症状。根据患者造影情况,我带领托克逊县人民医院介入团队,为患者行脑内动脉溶栓术。术后患者左侧肢体功能较术前明显改善,为我们医务人员竖起来大拇指。



援疆路漫漫,任重而道远。面对边疆人民群众对高端医疗技术水平的渴求和医院人才短缺急需培养的现状,我感到肩上的责任很重很重。新疆地域辽阔,以往病人进行静脉溶栓后症状无改善,需转诊到上级医院行血管内介入治疗,路上车程需要2小时。脑血管堵塞后,每分钟死亡190万个脑细胞。对于急性脑梗死病人来说,血量再通中每节约一分钟,都会成为患者预后良好的一份保障。如果能争取到这“黄金2小时”,直接在当地开展行血管内介入治疗,就可以大大降低急性重症缺血性卒中患者的致残率和死亡率。我很想突破这个技术瓶颈,让这部分病人在家门口就能获得及时的治疗。为此,我积极带动当地医务工作者开展相关学习培训,一同打造坚实而强大的诊疗和介入团队,经过周密的前期准备和训练,终于让这项技术在托克逊落地了。
2023年12月2日,随着救护车鸣响声的临近,一位83岁高龄患者,因失语伴右侧肢体活动障碍1.5小时入院,患者入院时神志嗜睡,运动性失语,右侧肢体不能活动,既往有冠心病、高血压病、糖尿病病史。经评估及完善相关检查后予以阿替普酶静脉溶栓治疗后患者症状无明显改善,与患者家属沟通后,同意为其进一步行血管内介入治疗,患者急诊造影后证实左侧大脑中动脉闭塞,予以行颅内动脉取栓术。我将自己的所学所知,毫无保留地教给了托克逊县人民医院神经内科介入团队,并带领着他们为患者实施了颅内动脉支架取栓术。手术后,患者血流立即再通,终于脱离了生命危险。

术前造影影像 VS 取栓术后

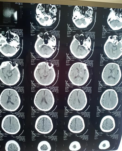
术前头颅CT VS 术后第二天复查头颅CT
这例手术,是托克逊县人民医院建院以来成功实施的首例经皮颅内动脉支架取栓术,标志着托克逊县人民医院在神经介入领域再迈新台阶,也开启了托克逊县医院急性缺血性脑梗死治疗的新篇章。
来疆六个月,我深刻地感受到援疆进一步丰富了我的家国情怀,提高了我的政治站位。虽然远离家乡三千公里,缺席了儿女的成长,亏欠了对父母的照料,但每当看到各民族兄弟姐妹真诚的笑容和热情的拥抱,我的内心更多的是一份感动和使命。
未来的路还很长,肩上的担子还很重。我将继续弘扬医疗援疆干部人才的优良作风,真正解决人民群众的实际问题,满足边疆人民群众的健康需求,让湘南仁术扎根托克逊。
编辑:李丽君 审核:李莉 许莉珺

