一次微创手术,解决两个“麻烦”
- 发布人:xnxy120
- 时间:2022-08-13
- 来源:
- 浏览量:1441
本网讯(通讯员 曹慧芳)“感谢这些天大家的照顾,让我感受到了人间自有温情在,只能用一个好字来表达对你们的感谢!”8月10号,是吴大叔出院的日子,在湘南学院附属医院肝胆胰脾外科病房,吴大叔激动地对医务人员说道。
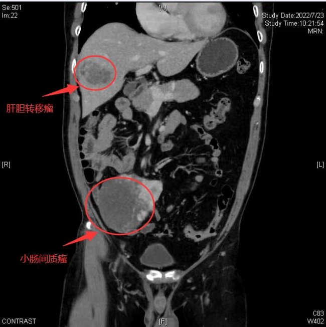
原来早在今年4月初,汝城县的吴大叔因饮酒后反复出现上腹部胀痛,在当地医院检查后发现腹部肿块,一听到考虑是恶心肿瘤,吴大叔愁眉不展,后立即前往长沙就诊,经诊断为胃肠间质瘤并肝内转移瘤。医生说吴大叔病情较重,病期较晚且肿瘤病灶较大,手术一次性完全切除病灶的难度很大,保守的是需要分两次手术,一期切除肠道病灶,二期切除肝转移病灶。做两次手术,就得遭两次罪,承担两次风险,吴大叔和家人犹豫了。“如果能一次手术就彻底切除两处病灶就好了。”吴大叔说。
为了延缓病情,在医生的建议下吴大叔选择了药物保守治疗。可遗憾的是服药期间,吴大叔的身体产生了多种不良反应,还出现了肝功能损害。药是不能继续再用了,手术方案也不理想,吴大叔原本殚精竭虑的心情更加雪上加霜。为求进一步治疗,家人四处奔波,到处打听,终于带着吴大叔来到了湘南学院附属医院肝胆外科就诊。
入院后,为明确进一步的诊断,医生详细了解发病经过,为患者完善了更详细的相关检查后,诊断为小肠间质瘤并肝转移,且伴有肝内组织坏死。肝胆外科主任彭钊介绍,“小肠间质瘤分为良性与恶性两种,良性的小肠间质瘤的治疗方案主要以手术治疗为主;而恶性的小肠间质瘤是一种高度的恶性肿瘤,早期易发生转移,当出现肝转移时,病情一般已经处于小肠间质瘤的晚期,大多数患者将失去治疗的机会。而吴大叔的病情虽然已经出现转移,但不是全身广泛性转移,通过手术方式予以治疗,是有机会治愈的。”
为了更好地帮助吴大叔减轻痛苦,彭钊主任团队进行了详细的病例讨论,制定了诊疗方案,同时对吴大叔各项身体健康状态进行了评估。肝脏储备功能实验检查结果显示,吴大叔无肝硬化等基础疾病,身体情况满足肝部分切除条件。经过认真谨慎的联合诊疗讨论,科内专家一致认为吴大叔具有手术指症,肠道、肝脏两处病灶无需进行分期切除,可以实施一次性联合根治手术。
8月2日,肝胆外科团队为吴大叔实施了腹腔镜下右肝前叶肿瘤切除联合小肠巨大间质瘤切除术。术中医务人员密切观测吴大叔生命体征变化,小心翼翼地实施手术,历经4个多小时苦战,终于顺利切除两处病灶,并通过下腹小切口取出标本,手术非常成功!
术后第三天,吴大叔下床活动,情况良好;术后第五天,吴大叔未出现出血、肝衰竭、肠瘘等并发症。术后一周,恢复良好的吴大叔顺利出院。
彭钊主任说,“对于肠恶性肿瘤伴肝内转移的患者,如果有手术机会,我们首先应该考虑为患者做一次性根治性切除,这是首选的治疗方式,我们要做的就是尽自己最大的努力,在最大程度上为患者减轻痛苦,延长患者的生命,提高生活质量。当然,一旦身体出现不适的症状,需要立即前往医院就诊,以免错过治疗时机。”
编辑:李丽君 审核:李莉 许莉珺



