- 发布人:xnxy120
- 时间:2024-01-31
- 来源:
- 浏览量:1181
本网讯(通讯员 唐海娟)近日,湘南学院附属医院卒中中心神经内一科成功开展了首例经左侧桡动脉入路颅内动脉瘤支架辅助栓塞术,为动脉瘤患者开辟了新的治疗途径,提高了脑血管介入手术的舒适度和可接受性,得到了患者及家属的一致认可和好评。
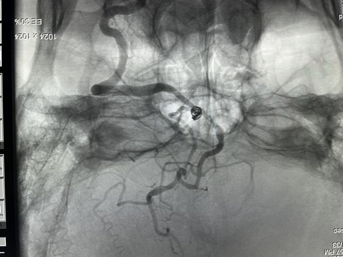
家住嘉禾县普满乡的雷女士今年61岁,因反复头痛头晕3年余,再发加重1天入院,既往有高血压、冠心病、脑梗死等多种病史,多次行头颅MRI+MRA检查提示,左侧椎动脉V4段不规则动脉瘤。但由于患者双侧髂动脉闭塞、左侧椎动脉开口处中度狭窄、左侧椎动脉V4段远端重度狭窄、瘤颈口发出支位于小脑后下动脉等情况,手术难度大,风险极高,稍有不慎可导致左侧小脑后下动脉闭塞,出现灾难性后果,并且患者双侧髂动脉闭塞,无法行常规股动脉途径治疗。
![]()
![]()
神经内一科团队立即组织多学科讨论,决定采用最新的手术方式,经左侧桡动脉行经导管颅内动脉瘤支架辅助栓塞术。神经内一科主任何劲松介绍,这种手术是通过密网支架改变血流导向,既能改善远端血管狭窄,又能保全左侧小脑后下动脉,并有效栓塞动脉瘤。“若采用传统弹簧圈栓塞/支架辅助弹簧圈栓塞,操作复杂,短期效果满意,但是术后复发风险较高。”何劲松说,“采用经左侧桡动脉入路行介入手术治疗,通过左侧桡动脉为动脉入路位点进行穿刺,该穿刺术不影响患者肢体的活动,跟平时桡动脉采血穿刺点类似,术后可随意行走,穿刺部位压迫时间短,舒适程度高,减少了因传统经股动脉穿刺行介入手术导致的穿刺部位血肿或假性动脉瘤,术后恢复更快。”
取得家属同意后,医务人员为患者取左侧桡动脉为入路,穿刺置鞘,予支架辅助下顺利实施了动脉瘤栓塞术,术后患者生命体征平稳,平安返回监护室观察。
![]()
湘南学院附属医院卒中中心经过不断学习和探索,在脑血管造影中,有80%是通过远桡通路或者近桡动脉入路,但经左侧桡动脉颅内动脉瘤支架辅助栓塞术的仍属首例,此类手术的开展,也为该院神经介入治疗翻开了新的篇章,让不耐受传统经股动脉穿刺脑血管造影术或者介入通路苦难的患者有了新的选择。

