迈入“心”时代丨caFFR技术,为冠脉介入手术精准“导航”
- 发布人:xnxy120
- 时间:2022-08-05
- 来源:
- 浏览量:2376
本网讯(通讯员 陈小艺)近日,湘南学院附属医院首次采用caFFR(基于冠状动脉血管造影的血流储备分数)测定诊断新技术,为2名冠心病患者提供精准冠脉介入治疗。此项技术的成功应用,填补了该院冠状动脉功能学检查和精准介入治疗方面的空白,开启了冠心病精准介入诊疗“心”时代。

caFFR技术,准确评估冠脉功能
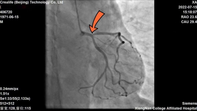
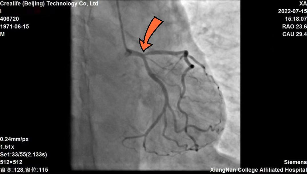
51岁的患者邓某,因反复活动时胸闷胸痛半月有余,遂入湘南学院附属医院心血管内科求诊治疗。接诊后,经心电图和冠脉造影检查显示:邓某左前降支开口70%狭窄,为临界病变,被诊断为冠心病、不稳定型心绞痛。按照传统治疗观念,邓某可能需要植入冠脉支架以改善心肌缺血。
▲患者冠脉造影显示箭头所指位置为病变处
那么,是否需要左冠脉支架手术?患者狭窄病变处又是否会引起心肌缺血?心血管内科团队经过反复对比和分析,发现邓某左前降支处狭窄程度虽严重,但未必是非植入支架不可的状态。为了进一步求证治疗方向,心血管内科团队决定采用最新的caFFR检查技术,为患者行冠脉测定血流储备分数测量,避免不必要的支架植入。
▲caFFR测定显示值0.87 (大于参考值0.80),无需行介入治疗
与家属充分沟通同意后,心血管内科团队为患者行冠脉造影下caFFR测定。整个测定过程非常顺利,经测量显示:前降远端的caFFR值为0.87,明显大于指南推荐参考值0.80,邓某血管狭窄程度看似严重,但病变冠脉血流储备功能良好,依据临床指南参考判断,无需植入支架手术治疗,拟予患者药物保守治疗。
此次测定结果让患者及家属如释重负,“听老朋友们说,得了冠心病要放支架,总感觉埋了个定时炸弹”,现在不用植入支架,按医嘱服用药物治疗即可,邓某心里的石头彻底落下了。
此次测定结果让患者及家属如释重负,“听老朋友们说,得了冠心病要放支架,总感觉埋了个定时炸弹”,现在不用植入支架,按医嘱服用药物治疗即可,邓某心里的石头彻底落下了。
68岁的陈某是一位“资深”冠心病患者,反复胸闷胸痛10余年,近日因心慌气促胸痛频发加重入院治疗。经冠脉造影检查显示:前降支中段70%弥漫性狭窄,为“临界”病变。为进一步明确患者该处狭窄病变是否引起心肌缺血,心血管内科介入团队决定对患者予以功能学caFFR测定,结果显示caFFR值0.71,表明患者胸痛与心肌缺血有关,冠脉血流储备不足,具有介入治疗指征。
▲术前caFFR测定显示值0.71,具有行介入治疗指征
▲术后复测,caFFR测定显示值0.91
随后,在caFFR新技术的指导下,心血管内科介入团队有条不紊地为患者行经皮冠状动脉介入治疗手术,在前降支中段植入支架,术中支架贴壁良好,未见夹层及穿孔,术后复查caFFR值为0.91。目前患者恢复良好,胸闷气短症状明显改善。
据心血管内科专家介绍,caFFR技术是心肌缺血功能学检测的“金标准”,通过血流储备分数的测定,客观评价冠脉狭窄对远端血流的影响,了解冠状动脉狭窄与心肌缺血的关系,进而制定合理的治疗方案。该技术操作简便、精准、高效,可帮助临床医师更好的制定手术方案并检验手术效果,有效缩短手术时间、不易损伤血管内壁、减少手术风险及并发症。
多年来,湘南学院附属医院心血管内科紧跟学科发展前沿,引进先进科学医疗设备和技术,助力冠心病治疗向个体化、精准化方向发展,为患者提供最优的术前诊断、术中指导和术后评估,避免患者过度医疗,节约医疗资源,造福更多心血管疾病患者。
编辑:李丽君 审核:李莉 许莉珺





