- 发布人:xnxy120
- 时间:2024-04-02
- 来源:
- 浏览量:1244
本网讯(通讯员 杨香琴)近日,我院心血管内一科成功为一例冠脉严重钙化的患者实施冠脉内斑块旋磨术,并顺利完成后续的血运重建。此项高精尖技术为冠脉严重钙化患者带来巨大福音。
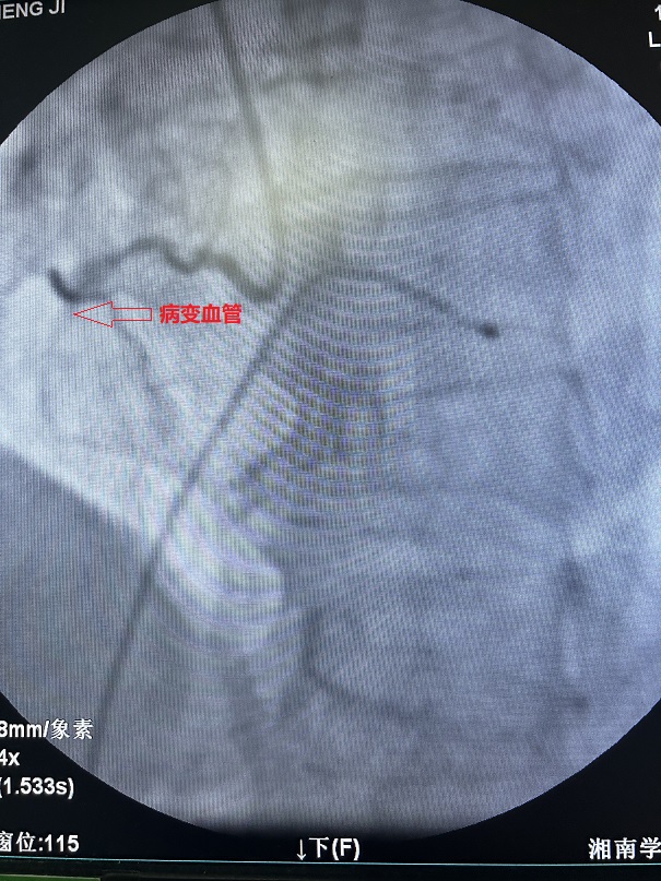
76岁的王先生,因反复胸闷5月余,加重伴气促2天入住心血管内一科。该患者数月前因突发急性心肌梗塞急诊行冠脉支架置入术,此次入院的主要目的是为了处理另一条严重狭窄并伴严重钙化的病变血管。

血管钙化病变素来是介入医生颇感头痛的“硬骨头”,常规的球囊、支架扩张技术难以充分扩张病变部位,一直以来被业界称为冠脉介入领域“最坚固的堡垒”。术前,心血管内一科廖昆团队为王先生充分评估了手术方案,根据患者实际病情,决定为他行冠脉内斑块旋磨术等血运重建术。

廖昆介绍,冠脉内斑块旋磨术是指将一个类似橄榄形的旋磨头送达钙化血管处,通过旋磨头的高速旋转,对冠脉钙化部位进行打磨,它能有效改变钙化斑块的顺应性,从而方便后续支架的置入。主要适用于解剖学上高危的病变,如钙化的病灶、开口处病灶、球囊难以扩张的病灶和长段血管病灶,尤其适用于钙化病灶。

“冠脉内斑块旋磨术是冠心病介入治疗的一项重要辅助技术,可以说是冠脉钙化的克星,也被喻为在冠脉内行走的金刚钻。”廖昆说。然而冠脉内斑块旋磨术对手术医生的要求却非常高,需要做到手、眼、耳、脚‘四位一体’,协调统一才能精准的完成。
凭借精湛的技术和充分的准备,王先生的病变血管,在术中得以顺利开通并成功置入支架,术后患者胸闷气促症状得到明显缓解。王先生及家人都对治疗效果非常满意。
编辑:李丽君 审核:李莉 许莉珺

