大叔肱骨外科颈粉碎性骨折,这家医院为他攻克“肩”难
- 发布人:xnxy120
- 时间:2023-07-20
- 来源:
- 浏览量:1888
本网讯(通讯员 豆献梅)看病就医是人民群众最为关切的民生之一,提升医疗健康品质是人民群众身体健康和生命安全的重要保障。现如今人口老龄化日渐增加,许多老年人由于行动不便,发生各种意外,导致身体骨骼的损伤,严重者四肢及脊柱发生骨折危及生命;那么如何治疗、如何选择让患者预后更好的治疗方案就显得尤为重要。

近日, 68岁的朱大叔,因不慎摔伤导致右肩部疼痛伴活动受限,来到湘南学院附属医院就诊,经检查诊断为“左肱骨外科颈粉碎性骨折,Neer 分型IV、肩关节半脱位”后收入骨一科进一步治疗。
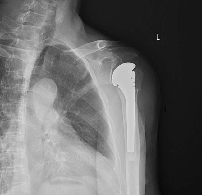
骨一科团队为患者进行专业评估后,制定最佳手术方案,决定为朱先生实施人工肱骨头置换手术。骨一科主任唐新文介绍说,人工肩关节置换术是使用金属材料和高分子塑料置入人体替换受损骨和软骨来缓解疼痛等症状的手术方法,而人工肱骨头置换手术解决了部分复杂肱骨近端骨折患者的手术难题,具有创伤小、恢复快、效果好等优势,因术后可获得较为满意的肩关节活动功能,而受到广大患者的青睐,但此项技术却对手术医师的操作准确性及熟练程度有着严格要求。
通过术前精心设计,在麻醉科的配合下,医务人员成功为朱先生实施了人工肱骨头置换手术,手术过程顺利,术中出血少。术后第一天,患者患肩已能在无痛状态下主动完成握拳、伸指、腕关节环绕、肘关节屈伸运动。在科室医护团队的协助指导下,朱先生康复顺利,不日即将出院。
湘南学院附属医院目前已成功实施多例人工肱骨头置换手术,积累了丰富的经验,众多患者术后回访效果良好,为肱骨近端严重粉碎性骨折、肱骨头粉碎性骨折及肱骨头坏死、肩关节置换等多类疾病患者,提供了更安全、更高效、更优质的医疗服务。

近日, 68岁的朱大叔,因不慎摔伤导致右肩部疼痛伴活动受限,来到湘南学院附属医院就诊,经检查诊断为“左肱骨外科颈粉碎性骨折,Neer 分型IV、肩关节半脱位”后收入骨一科进一步治疗。
(术前左肩关节CT片)
骨一科团队为患者进行专业评估后,制定最佳手术方案,决定为朱先生实施人工肱骨头置换手术。骨一科主任唐新文介绍说,人工肩关节置换术是使用金属材料和高分子塑料置入人体替换受损骨和软骨来缓解疼痛等症状的手术方法,而人工肱骨头置换手术解决了部分复杂肱骨近端骨折患者的手术难题,具有创伤小、恢复快、效果好等优势,因术后可获得较为满意的肩关节活动功能,而受到广大患者的青睐,但此项技术却对手术医师的操作准确性及熟练程度有着严格要求。
通过术前精心设计,在麻醉科的配合下,医务人员成功为朱先生实施了人工肱骨头置换手术,手术过程顺利,术中出血少。术后第一天,患者患肩已能在无痛状态下主动完成握拳、伸指、腕关节环绕、肘关节屈伸运动。在科室医护团队的协助指导下,朱先生康复顺利,不日即将出院。
湘南学院附属医院目前已成功实施多例人工肱骨头置换手术,积累了丰富的经验,众多患者术后回访效果良好,为肱骨近端严重粉碎性骨折、肱骨头粉碎性骨折及肱骨头坏死、肩关节置换等多类疾病患者,提供了更安全、更高效、更优质的医疗服务。
编辑:李丽君 审核:李莉 许莉珺




