- 发布人:xnxy120
- 时间:2024-01-10
- 来源:
- 浏览量:1469
本网讯(通讯员 赖欣)嘉禾县的谢爷爷今年69岁了,以前在农村体力劳动较多,左膝疼痛数年,自行用药能有所好转。近一年半以来,谢爷爷左膝疼痛明显加重,自行用药无效后,在郴州某医院接受了膝关节镜手术治疗,但术后效果不佳,疼痛明显,活动受限,严重影响行走,后经病友推荐,慕名来到湘南学院附属医院骨一科寻求治疗。

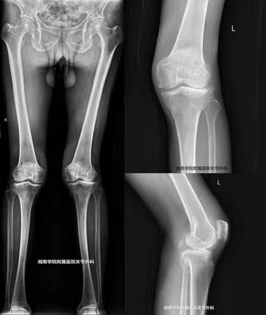
由于谢爷爷不会说普通话,只会讲嘉禾方言,给医患沟通带来一定难度。经过主管医生谷四全的耐心沟通、详细问诊及完善检查,发现谢爷爷左膝呈外翻畸形(俗话说外八字),膝疼痛集中在外侧,X片和核磁共振提示谢爷爷左膝还存在外侧间室骨质增生、软骨剥脱、外侧半月板脱位等情况,不适合做修复性治疗。


骨一科主任唐新文根据谢爷爷病例特点组织查房讨论,考虑患者病程不长,其他关节间室退变不重,韧带完整,应力下膝关节外翻可部分矫正,膝关节活动度稍受限,结合患者后续生活质量需求,认为相较于全膝关节置换术,单髁置换术更适合。
唐新文介绍,单髁置换相对于传统的全膝关节置换术更加微创,手术切口仅为原来的1/2,对患者的损伤更小,术后疗效更佳,同时,手术费用及住院时间也明显降低,极大地方便了患者。唐新文说,“单髁置换术既能解决疼痛,恢复膝关节功能,又能最大程度保留骨量和韧带,还具有创伤小、术后恢复快、并发症发生率低等优势,是目前最适合患者的治疗方案。”
在医务人员的精心安排下,手术顺利完成,术中出血少、创伤小,为患者后面的快速康复奠定了良好的基础。术后第一天,谢爷爷即可拄拐下地行走,其左膝外翻畸形也得到部分纠正。术后第二天,唐新文查看患者左膝关节功能锻炼,发现谢爷爷已经能很好的完成抬腿、屈曲等动作,疼痛感较术前也得到了明显减轻。谢爷爷满意地说“我们村还有好多腿脚不好的人,我都要推荐他们到你们这里来就医。”
创建于上世纪90年代的湘南学院附属医院骨科,是湖南省临床重点建设专科,郴州市级重点学科,是卫生部关节镜基地临床培训中心,湖南省膝骨关节炎示范基地。经过20多年的努力,科室取得长足的发展,学科建设特色明显,技术力量雄厚,对各类骨科疾病积累了丰富的诊疗经验。近年来科室开展了多项专科高难度手术,多项技术处于市领先水平,其“微创骨科”“快速康复”“膝骨关节炎阶梯治疗”等先进理念,为湘南地区膝骨关节炎患者带来了新“膝”望!
编辑:李丽君 审核:李莉 许莉珺

