- 发布人:xnxy120
- 时间:2025-05-27
- 来源:
- 浏览量:1058
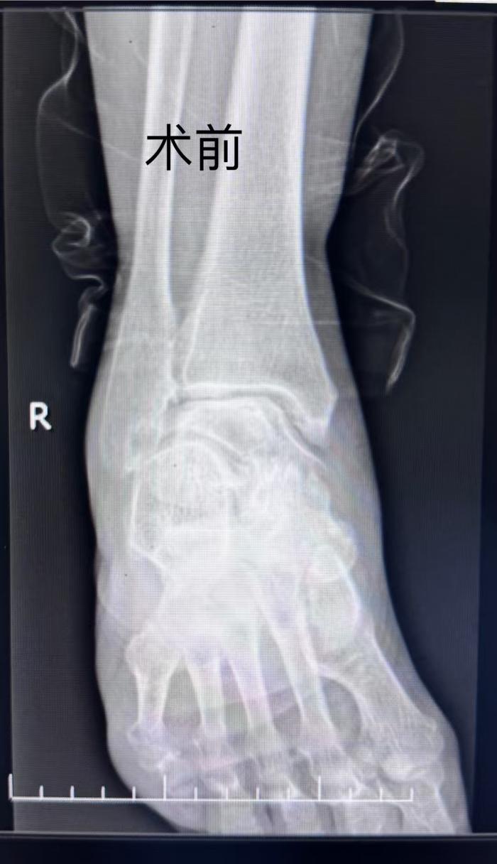
本网讯(通讯员 豆献梅)2025年5月12日,湘南学院附属医院骨一科成功为75岁的欧阳阿姨实施郴州市首例3D打印导板辅助下右踝关节置换术。这项融合数字化技术与精准外科理念的创新术式,让被踝关节病痛折磨十余年的患者,术后5天即实现助行器辅助下地行走,重新拥抱生活的希望。
![]()
时间回溯到十年前,欧阳阿姨因一次不慎摔跤导致踝关节扭伤,加上长期高强度劳作,右踝关节损伤不断加剧。近两年来,疼痛愈发明显,VAS评分高达7-8分,她痛苦地表示“痛起来的时候,连简单的蹲下上厕所都成了奢望”。此前,她多次在外院就诊,均被建议保守治疗或实施踝关节融合术。但保守治疗效果不佳,又因年事已高,家人担心术后预后效果,一直拖延至今。
此次就诊的契机,源于欧阳阿姨的老伴因不慎摔伤导致股骨颈骨折,在湘南学院附属医院住院治疗。欧阳阿姨在病房照顾期间,骨一科主任唐新文注意到她走路一瘸一拐,询问情况并进行查体后,立即安排了右踝关节DR检查,最终以“右踝关节骨关节炎”将其收入科室治疗。
![]()
唐新文主任团队接诊后,进行了系统评估。影像学显示,胫距关节面严重磨损,踝关节活动度<15°(正常背屈 20/跖屈 50°),且踝关节力线异常。考虑到患者需照料术后配偶的特殊需求,团队决定采用3D 打印导板技术联合第三代解剖型假体系统,实施全踝关节置换术,在解除病痛的同时最大限度保留关节功能。主管医生吕晨与家属详细讲解了手术治疗方案及术后康复方案,消除了家属的顾虑。欧阳阿姨也坚定地表示:“我的老伴两次摔跤,两次手术都是在唐主任这里做的,所以我绝对相信你们的医疗水平。”
手术中,唐新文团队依托患者 CT 数据完成踝关节三维重建,通过3D打印技术 1:1 定制截骨导板,实现与骨性标志100% 贴合,将截骨误差严格控制在0.5mm以内(传统徒手操作误差达2-3mm)。借助导板精准引导,仅通过前侧7cm微创切口,便完成假体植入,手术耗时120分钟(较传统术式缩短60分钟),出血量控制在 100ml 以内,全程无需输血。术中通过导板预设的解剖参数优化,选择的第三代解剖型假体与骨骼接触面积增加 35%,配合仿生曲面设计及多孔涂层促进骨长入,显著降低术后松动风险。
术后,欧阳阿姨恢复情况良好。在麻醉苏醒后,她就在护士的指导下开始进行跖屈、背伸及直腿抬高训练。72 小时后,疼痛评分降至3分(VAS)。术后第5天,她已经能够使用助行器下地行走。欧阳阿姨开心地说:“现在脚踝轻松多了,也没那么痛了,就等着和老伴一起出院了。” 与此同时,同期接受人工股骨头置换术的老伴也恢复良好,预计本周可出院。
![]()
![]()
唐新文主任介绍,相较于传统踝关节融合术导致的功能丧失,3D 打印导板辅助置换术可保留25°关节活动度,降低邻近关节退变风险60% 以上。目前,湘南学院附属医院已实现髋、膝、踝、肩、肘等负重关节置换技术全覆盖,其中 3D 打印导板技术通过术前数字化模拟缩短年轻医师学习曲线,并将单例导板成本降至传统方法1/5,推动精准骨科技术向基层普及。
编辑:李丽君 审核:李莉 许莉珺

