人体“水管改造”,老朋友带来新朋友
- 发布人:xnxy120
- 时间:2023-03-25
- 来源:
- 浏览量:1555
本网讯(通讯员 罗剑芳)2023年2月23日,家住永兴的何叔叔满面春风的来到科室。 “湘南学院附属医院技术好,服务好,把病人当朋友,去年我在这里诊断出膀胱癌,后来做了膀胱切除术,把尿管改道,就解决了我这个老大难问题。”正当医务人员准备上前询问何叔叔有什么需要时,他滔滔不绝地道,“今天我这个老朋友带来了一位新朋友,他的症状跟我一样,屙血尿,屙又屙不出,屙的次数又多,说不出的难受,我特地带他过来,请我们泌尿外科的医生帮他看看。”

原来何叔叔带来的新朋友是曾叔叔,一个月前无明显诱因出现肉眼血尿,为全程血尿,呈暗红色,伴有血块,还伴有尿频(排尿次数明显增加)、尿急(迫切的排尿愿望)、尿痛(排尿时疼痛),以及排尿不畅、夜尿增多,不伴畏寒、发热、腰痛等不适。曾叔叔自行在家休养后,症状无明显缓解,且血尿有加重趋势,遂到当地医院就诊,完善相关检查诊断为“膀胱肿瘤”。得知这个情况,何叔叔主动上门“现身说法”,还亲自带着曾叔叔来到我院就诊。
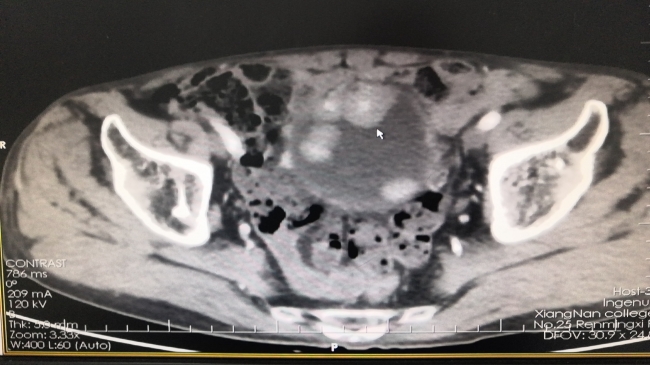
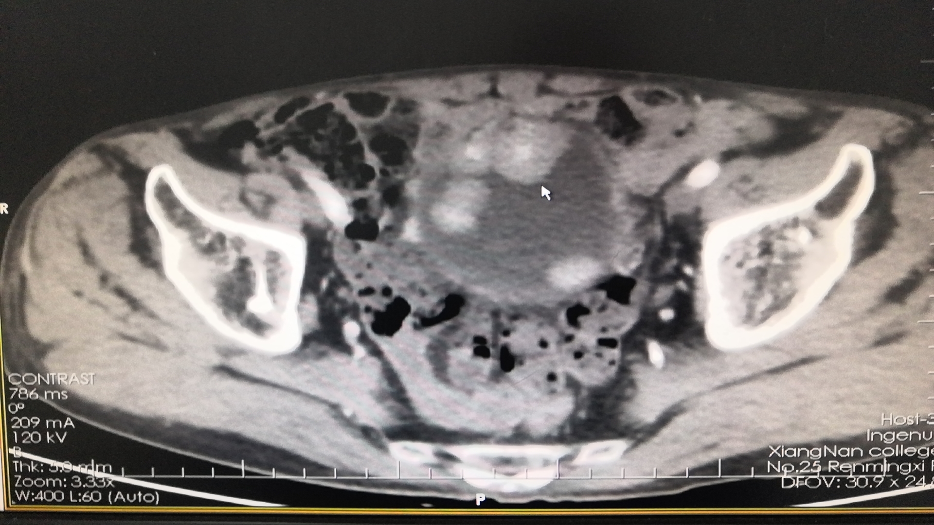
唐建生主任团队立即为曾叔叔安排了多学科联合会诊,并根据他的临床表现、既往病史及相关检查资料,同时予以完善三大常规、尿培养、肝肾功能、凝血功能、泌尿系增强CT、病理活检等检查。检查结果显示,曾叔叔确诊为膀胱低级别浸润性尿路上皮癌,且肿瘤呈多发趋势,肿瘤瘤体也比较大,对比何叔叔当时的情况要更为复杂,需要实施手术难度高,操作步骤复杂的腹腔镜下膀胱全切除+回肠代膀胱手术(膀胱癌根治术)手术治疗。
临床上,这类手术需要为患者进行尿流改道,切除一段回肠来代替膀胱,手术中不但要先截取一段回肠,将截断的回肠肠管进行吻合联接,再将截下来的肠管与输尿管进行吻合联接,并在腹壁上开放一个造口,排出尿液。手术需要时间长、操作步骤复杂,难度相当大,再加上供应膀胱的血管呈网状分布,血运非常丰富,止血很困难,对医务人员而言是个不小的挑战。但手术优势与患者而言却是非常明显的,整个手术过程都在腹腔下完成,创伤小、出血少,不用在腹部位置开“大刀”,术后痛苦小,恢复快,大大减轻了患者的负担,同时也能最大程度提高患者的生活质量。

3月2日,在科室唐建生团队及麻醉科、手术室的默契配合下,医务人员成功为曾叔叔实施腹腔镜下全膀胱切除回肠代膀胱术。手术历经4个小时,术中通过精细解剖,克服重重困难,淋巴结清扫完全,切除一段回肠用作尿流改道,最终顺利完成。在科室团队的共同努力下,曾叔叔术后恢复顺利,对医务人员竖起了大拇指,医务人员的内心都感到了无限的欣慰与喜悦。
湘南学院附属医院泌尿外科在微创技术上不断开拓创新,追求卓越,目前已逐步开展了肾、肾盂、肾上腺、输尿管、前列腺、膀胱腹腔镜手术,以及盆底疾病的修复,泌尿器官的重建、肾移植等手术,赢得了广大病友的认可与信赖。像何叔叔与曾叔叔这样,老朋友带来新朋友的情况经常发生。“现在,老朋友的信任一直在,新朋友也越来越多,作为医务人员我感到自己身上的责任也越来越重了,真心希望我们权威、专业、规范、科学的诊疗服务,能帮助到更多有需要的患者。”泌尿外科主任唐建生说。

原来何叔叔带来的新朋友是曾叔叔,一个月前无明显诱因出现肉眼血尿,为全程血尿,呈暗红色,伴有血块,还伴有尿频(排尿次数明显增加)、尿急(迫切的排尿愿望)、尿痛(排尿时疼痛),以及排尿不畅、夜尿增多,不伴畏寒、发热、腰痛等不适。曾叔叔自行在家休养后,症状无明显缓解,且血尿有加重趋势,遂到当地医院就诊,完善相关检查诊断为“膀胱肿瘤”。得知这个情况,何叔叔主动上门“现身说法”,还亲自带着曾叔叔来到我院就诊。
唐建生主任团队立即为曾叔叔安排了多学科联合会诊,并根据他的临床表现、既往病史及相关检查资料,同时予以完善三大常规、尿培养、肝肾功能、凝血功能、泌尿系增强CT、病理活检等检查。检查结果显示,曾叔叔确诊为膀胱低级别浸润性尿路上皮癌,且肿瘤呈多发趋势,肿瘤瘤体也比较大,对比何叔叔当时的情况要更为复杂,需要实施手术难度高,操作步骤复杂的腹腔镜下膀胱全切除+回肠代膀胱手术(膀胱癌根治术)手术治疗。
临床上,这类手术需要为患者进行尿流改道,切除一段回肠来代替膀胱,手术中不但要先截取一段回肠,将截断的回肠肠管进行吻合联接,再将截下来的肠管与输尿管进行吻合联接,并在腹壁上开放一个造口,排出尿液。手术需要时间长、操作步骤复杂,难度相当大,再加上供应膀胱的血管呈网状分布,血运非常丰富,止血很困难,对医务人员而言是个不小的挑战。但手术优势与患者而言却是非常明显的,整个手术过程都在腹腔下完成,创伤小、出血少,不用在腹部位置开“大刀”,术后痛苦小,恢复快,大大减轻了患者的负担,同时也能最大程度提高患者的生活质量。

3月2日,在科室唐建生团队及麻醉科、手术室的默契配合下,医务人员成功为曾叔叔实施腹腔镜下全膀胱切除回肠代膀胱术。手术历经4个小时,术中通过精细解剖,克服重重困难,淋巴结清扫完全,切除一段回肠用作尿流改道,最终顺利完成。在科室团队的共同努力下,曾叔叔术后恢复顺利,对医务人员竖起了大拇指,医务人员的内心都感到了无限的欣慰与喜悦。
湘南学院附属医院泌尿外科在微创技术上不断开拓创新,追求卓越,目前已逐步开展了肾、肾盂、肾上腺、输尿管、前列腺、膀胱腹腔镜手术,以及盆底疾病的修复,泌尿器官的重建、肾移植等手术,赢得了广大病友的认可与信赖。像何叔叔与曾叔叔这样,老朋友带来新朋友的情况经常发生。“现在,老朋友的信任一直在,新朋友也越来越多,作为医务人员我感到自己身上的责任也越来越重了,真心希望我们权威、专业、规范、科学的诊疗服务,能帮助到更多有需要的患者。”泌尿外科主任唐建生说。
编辑:李丽君 审核:李莉 许莉珺


