甲亢突眼,原来还能这么治
- 发布人:xnxy120
- 时间:2023-10-08
- 来源:
- 浏览量:1577
本网讯(通讯员 刘琴 刘志芳)近日,湘南学院附属医院眼科与耳鼻咽喉头颈外科首次联合成功完成了首例经鼻内镜眶减压术,解决了甲状腺疾病患者“视力及突眼”问题。

苏仙区的李阿姨今年67岁,8年前诊断甲亢,长期药物治疗,导致双眼肿胀、眼球突出,这让原本开朗的刘阿姨都不敢照镜子和自拍,平时眼球转动受到限制,视力也慢慢下降,严重影响生活,为了解决这个“老大难”问题,李阿姨在市内多家医院就诊,尝试碘131放射治疗、激素冲击治疗等多种方案,但视力一直没有明显改善,后经人介绍来到了湘南学院附属医院眼科就诊。
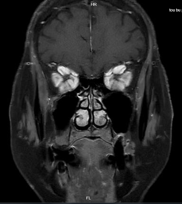
入院后,医务人员予以完善相关检查,进一步明确诊断,影像学检查提示眶尖拥挤征象明显,考虑患者视力下降原因为甲状腺相关性眼病视神经病变(DON),眼科主任冯少颖团队经过了周密的检查、评估,考虑患者有手术指征,决定联合耳鼻咽喉头颈外科团队“双管齐下”解决难题,双方团队密切配合,开展经鼻内镜下眶内侧壁减压术。该术式采用鼻内镜微创技术,和外路手术相比具有创伤更小、出血更少、安全有效、不影响美观,术后恢复更快等优势,是目前较为适合李阿姨情况的治疗方案。

经过充分术前准备,医务人员在李阿姨眼眶内侧壁及下壁开凿小洞,经鼻腔通过鼻窦自然开口切除眶骨、脂肪组织,顺利达到眼眶减压效果,使眼球回到正常位置。术后第一天,李阿姨视力明显提升,眼球突出也明显改善,脸上的愁容顿时消除了,术后观察了几天,无任何不适后顺利康复出院。
甲状腺患者饱受疾病折磨,即使度过了活动期,很多患者仍然会遗留眼睑退缩、眼球突出等甲状腺相关眼病,患者群体以年轻女性居多,患病后对自己外貌的变化难以接受,严重影响社会生活与人际交往。通过鼻内镜下眶内侧壁减压术,磨除特定区域的眼眶骨壁,祛除增生的眼球后脂肪,可以达到扩充眼眶容积,降低眶内压力的效果,很多患者都能够恢复到生病前的容貌,改善甲亢“悲伤蛙”的特殊病容。

苏仙区的李阿姨今年67岁,8年前诊断甲亢,长期药物治疗,导致双眼肿胀、眼球突出,这让原本开朗的刘阿姨都不敢照镜子和自拍,平时眼球转动受到限制,视力也慢慢下降,严重影响生活,为了解决这个“老大难”问题,李阿姨在市内多家医院就诊,尝试碘131放射治疗、激素冲击治疗等多种方案,但视力一直没有明显改善,后经人介绍来到了湘南学院附属医院眼科就诊。
入院后,医务人员予以完善相关检查,进一步明确诊断,影像学检查提示眶尖拥挤征象明显,考虑患者视力下降原因为甲状腺相关性眼病视神经病变(DON),眼科主任冯少颖团队经过了周密的检查、评估,考虑患者有手术指征,决定联合耳鼻咽喉头颈外科团队“双管齐下”解决难题,双方团队密切配合,开展经鼻内镜下眶内侧壁减压术。该术式采用鼻内镜微创技术,和外路手术相比具有创伤更小、出血更少、安全有效、不影响美观,术后恢复更快等优势,是目前较为适合李阿姨情况的治疗方案。

经过充分术前准备,医务人员在李阿姨眼眶内侧壁及下壁开凿小洞,经鼻腔通过鼻窦自然开口切除眶骨、脂肪组织,顺利达到眼眶减压效果,使眼球回到正常位置。术后第一天,李阿姨视力明显提升,眼球突出也明显改善,脸上的愁容顿时消除了,术后观察了几天,无任何不适后顺利康复出院。
甲状腺患者饱受疾病折磨,即使度过了活动期,很多患者仍然会遗留眼睑退缩、眼球突出等甲状腺相关眼病,患者群体以年轻女性居多,患病后对自己外貌的变化难以接受,严重影响社会生活与人际交往。通过鼻内镜下眶内侧壁减压术,磨除特定区域的眼眶骨壁,祛除增生的眼球后脂肪,可以达到扩充眼眶容积,降低眶内压力的效果,很多患者都能够恢复到生病前的容貌,改善甲亢“悲伤蛙”的特殊病容。
编辑:李丽君 审核:李莉 许莉珺

