- 发布人:xnxy120
- 时间:2026-01-23
- 来源:
- 浏览量:220
本网讯(通讯员 李姝霖)“就被树叶碰了一下,怎么会这么严重?” 湘南学院附属医院眼科门诊,张叔捂着右眼焦急求助。几天前他在公园散步时,右眼被低垂树叶刮到,当时仅轻微刺痛、眼红,便没在意。谁知一天后,视力急剧下降,眼胀、眼痛加剧,看东西像隔了层毛玻璃,这才慌忙就医。
其实,树枝划眼、稻谷弹伤、甘蔗叶擦伤等看似轻微的外伤,若处理不当,都可能引发致盲率极高的真菌性角膜炎。今天,我们就来详细科普这种隐藏在小外伤后的“眼部危机”。
![]()
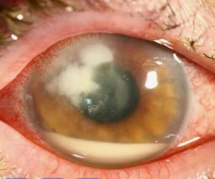
什么是真菌性角膜炎?
真菌性角膜炎是真菌感染引起的角膜严重炎症,起病慢、病程长、治疗难,延误治疗可能导致角膜溃疡、穿孔甚至失明。农民、户外劳动者是高危人群,夏秋农忙时节高发,植物性外伤是主要诱因。
为什么外伤后容易得这个病?
首先,角膜伤口破坏了眼睛的 “保护膜”,让真菌有机可乘;其次,泥土、植物、空气中大量存在镰刀菌、曲霉菌等真菌,易通过伤口感染;更关键的是,外伤后盲目使用抗生素或激素类眼药水,会抑制免疫、助长真菌生长。
有哪些症状?别当“普通眼红”拖!
真菌性角膜炎的症状很容易被忽视,常于伤后 2-3 天才显现:眼红、眼痛、畏光、流泪,视力逐渐下降,眼睛有异物感、分泌物增多,角膜会出现类似“牙膏”或“苔藓”的灰白色粗糙溃疡,严重时还会前房积脓、眼胀剧烈,切勿当作普通眼红拖延。
预防为先,远离眼部危机
预防关键在“早”:田间劳作佩戴护目镜或帽子;眼部被植物划伤后,立即用干净水冲洗并尽快就医;不自行使用抗生素或含激素的“消炎”眼药水;不用脏手揉眼,避免二次感染。
六、温馨提示
真菌性角膜炎误诊率高,常被当作普通结膜炎治疗,延误最佳时机。治疗周期长,即使症状缓解,也要坚持用药至少6周。一旦角膜穿孔,可能需角膜移植,而供体稀缺,治疗难度大。
小外伤不轻视,眼不适早就医。眼睛是心灵的窗户,也是极其脆弱的器官。一次看似轻微的植物性外伤,可能隐藏着致盲的风险。若您或身边人眼部外伤后出现视力下降、眼胀、眼痛等症状,请立即前往正规医院眼科就诊,切勿自行处理或拖延,让专业医生为您的视力保驾护航。
一审:李丽君 二审:李莉 许莉珺 三审:蒋玉兰

