世界正畸健康日:正畸你和我,微笑共守护
- 发布人:xnxy120
- 时间:2023-05-17
- 来源:
- 浏览量:1510
本网讯(通讯员:姚昊坤 图/史妹军)2023年5月15日是第七个世界正畸健康日,今年的主题是“正畸你和我,微笑共守护”,旨在唤起广大民众对口腔正畸的认识,提高口腔保健意识。

“很多人对于矫正的观念还停留在12至13岁的矫正黄金年龄中,常常有家长一度到口腔科咨询,孩子小的时候能进行矫治吗?效果如何呢?能配合吗?这我们就不得不提一下儿童早期矫治了。”湘南学院附属医院口腔科史妹军副主任医师介绍道,“儿童早期矫治简称早矫,一般是在儿童牙颌畸形发生发展的初期,对生长发育异常的牙颌面形态、结构及功能进行合理有效的干预,降低牙颌畸形严重程度和复杂程度,将不良生长发育引导至正常的医疗行为。”
儿童牙颌畸形有哪些表现?
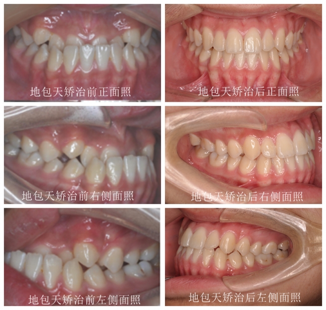
例如像我们常见的“地包天”或者“小下巴”都属于牙颌畸形的一种,影响着孩子的颌面部发育,若不进行早期干预,牙颌畸形会进一步发展,加重后期的治疗难度,甚至需要实施外科手段(做正颌手术)来进行治疗。
对于“地包天”“小下巴”或者吐舌、吮指、口呼吸等儿童不良习惯,家长要马上进行干预。“地包天”最早可出现在3至4岁左右,“小下巴”往往在7至8岁左右开始出现,若这个阶段家长发现孩子有以上表现,一定要尽早带孩子到正规的医疗机构就诊。若任其发展,可能会影响孩子颌骨的正常发育。

早期矫治是什么?
早期矫治能够阻断不良的环境因素,将孩子的生长发育引入正确的道路。早期矫治属于医疗行为,正畸医师在充分了解儿童牙颌畸形病因及表现的前提下,明确早期矫治的适应证,并结合患儿的生长发育、遗传因素以及环境因素等,综合考虑所采用的矫治方法。
湘南学院附属医院口腔科是郴州地区开展正畸技术非常成熟的口腔专科,对开展各种儿童早期预防和阻断性矫治,先进固定矫治技术,功能矫治技术现代直丝弓矫治技术,微种植体支抗配合固定矫治器高效治疗疑难病例,隐形矫治技术等先进技术方面具有一定优势,能常规开展儿童、青少年及成人错牙合畸形的矫治。

“很多人对于矫正的观念还停留在12至13岁的矫正黄金年龄中,常常有家长一度到口腔科咨询,孩子小的时候能进行矫治吗?效果如何呢?能配合吗?这我们就不得不提一下儿童早期矫治了。”湘南学院附属医院口腔科史妹军副主任医师介绍道,“儿童早期矫治简称早矫,一般是在儿童牙颌畸形发生发展的初期,对生长发育异常的牙颌面形态、结构及功能进行合理有效的干预,降低牙颌畸形严重程度和复杂程度,将不良生长发育引导至正常的医疗行为。”
儿童牙颌畸形有哪些表现?
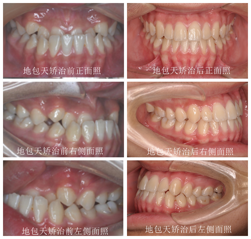
例如像我们常见的“地包天”或者“小下巴”都属于牙颌畸形的一种,影响着孩子的颌面部发育,若不进行早期干预,牙颌畸形会进一步发展,加重后期的治疗难度,甚至需要实施外科手段(做正颌手术)来进行治疗。
对于“地包天”“小下巴”或者吐舌、吮指、口呼吸等儿童不良习惯,家长要马上进行干预。“地包天”最早可出现在3至4岁左右,“小下巴”往往在7至8岁左右开始出现,若这个阶段家长发现孩子有以上表现,一定要尽早带孩子到正规的医疗机构就诊。若任其发展,可能会影响孩子颌骨的正常发育。

早期矫治是什么?
早期矫治能够阻断不良的环境因素,将孩子的生长发育引入正确的道路。早期矫治属于医疗行为,正畸医师在充分了解儿童牙颌畸形病因及表现的前提下,明确早期矫治的适应证,并结合患儿的生长发育、遗传因素以及环境因素等,综合考虑所采用的矫治方法。
史妹军副主任医师提醒,家长在关注孩子牙齿健康的同时,也不必过分焦虑,选择正规的医疗机构以及有资质的正畸医师,才能使孩子健康的成长。
湘南学院附属医院口腔科是郴州地区开展正畸技术非常成熟的口腔专科,对开展各种儿童早期预防和阻断性矫治,先进固定矫治技术,功能矫治技术现代直丝弓矫治技术,微种植体支抗配合固定矫治器高效治疗疑难病例,隐形矫治技术等先进技术方面具有一定优势,能常规开展儿童、青少年及成人错牙合畸形的矫治。
编辑:李丽君 审核:李莉 许莉珺



