痛失门牙怎么办?医生:残根残冠还能这样补
- 发布人:xnxy120
- 时间:2023-06-09
- 来源:
- 浏览量:1421
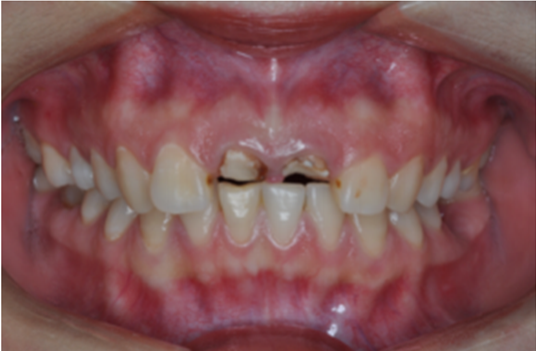
本网讯(通讯员 姚昊坤)对于许多人而言,微笑被认为是一张“名片”,传递着友好、善意和美丽,但门牙缺失却会将微笑所带来的美好大打折扣。在郴州求学的张同学因为八年前摔跤导致门牙折断,治疗后给牙齿戴上了人造牙冠修复,近日感觉牙冠松动,来到了湘南学院附属医院就医。

湘南学院附属医院口腔科李一聪副主任医师接诊了张同学,并进行了一系列的口腔检查,发现牙冠里面的自身牙齿已经断得跟牙龈平齐了,牙冠丧失了着力点,自然也就松动了。碰到这种情况的时候,每个医生都会觉得头大。由于自身的牙齿缺损过多,很难戴得稳人造牙冠,并且治疗这种牙齿,还需要重新进行根管治疗,耗时长,花费大,这对医生和患者来说都是一个棘手又痛苦的折磨。如果放在上个世纪,牙医通常建议拔掉牙齿,一了百了。但是对于正值青春年少的张同学来说,门牙缺失无疑是一种无法弥补回的遗憾。李一聪医生多方评估与推敲,想到为张同学实施上前牙根管治疗和牙冠延长术,为她保留住美丽的门牙。

“张同学的牙齿属于临床冠过短,她的牙根还是足够长的。”李一聪介绍说,“我们可以通过冠延长术的方式,降低牙龈缘位置、暴露健康的牙齿结构,使临床牙冠加长,从而利于牙齿的修复或解决美观问题。”医务人员先拆除了原有牙冠,再进行了为期一月的根管治疗后,最后为张同学进行了牙冠延长术,经过3个月的恢复期后,张同学再次戴上了新的牙冠,终于露出甜美的微笑。
湘南学院附属医院口腔科牙体牙髓自开展冠延长手术以来,经过多年的实践,目前已常规开展冠延长、牙龈切除术、正畸牙体牵引手术治疗,为越来越多的牙体牙髓疾病患者提供了优质医疗服务。

湘南学院附属医院口腔科李一聪副主任医师接诊了张同学,并进行了一系列的口腔检查,发现牙冠里面的自身牙齿已经断得跟牙龈平齐了,牙冠丧失了着力点,自然也就松动了。碰到这种情况的时候,每个医生都会觉得头大。由于自身的牙齿缺损过多,很难戴得稳人造牙冠,并且治疗这种牙齿,还需要重新进行根管治疗,耗时长,花费大,这对医生和患者来说都是一个棘手又痛苦的折磨。如果放在上个世纪,牙医通常建议拔掉牙齿,一了百了。但是对于正值青春年少的张同学来说,门牙缺失无疑是一种无法弥补回的遗憾。李一聪医生多方评估与推敲,想到为张同学实施上前牙根管治疗和牙冠延长术,为她保留住美丽的门牙。

“张同学的牙齿属于临床冠过短,她的牙根还是足够长的。”李一聪介绍说,“我们可以通过冠延长术的方式,降低牙龈缘位置、暴露健康的牙齿结构,使临床牙冠加长,从而利于牙齿的修复或解决美观问题。”医务人员先拆除了原有牙冠,再进行了为期一月的根管治疗后,最后为张同学进行了牙冠延长术,经过3个月的恢复期后,张同学再次戴上了新的牙冠,终于露出甜美的微笑。
湘南学院附属医院口腔科牙体牙髓自开展冠延长手术以来,经过多年的实践,目前已常规开展冠延长、牙龈切除术、正畸牙体牵引手术治疗,为越来越多的牙体牙髓疾病患者提供了优质医疗服务。
编辑:李丽君 审核:李莉 许莉珺

