- 发布人:xnxy120
- 时间:2023-12-27
- 来源:
- 浏览量:1297
本网讯(通讯员 姚昊坤)最近,家住龙泉名邸的李阿姨带着6岁的小孙子涵涵找到了湘南学院附属医院口腔科,说她小孙子比别人多长了两颗牙,要求附属医院的医生帮忙拔掉这“多长”的牙。
![]()
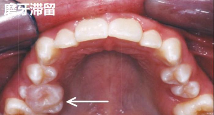
湘南学院附属医院口腔医院李一聪副主任医师接诊涵涵后马上进行了详细的检查,连忙跟奶奶解释道,里面“多长”的牙齿可不能拔,这是涵涵新长的恒牙,拔掉就没有替换的牙齿了,顺势还给涵涵检查了外面松动的小乳牙。李一聪告诉涵涵奶奶,涵涵进入了混合牙列期,开始换牙了,要换的牙齿没脱落,新长的恒牙没位置萌出就长到里面去了。涵涵奶奶看了看这未脱落且松动的乳牙,才恍然大悟。
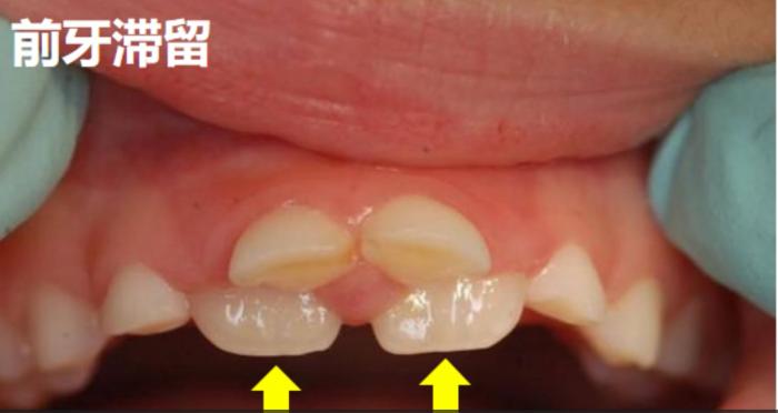
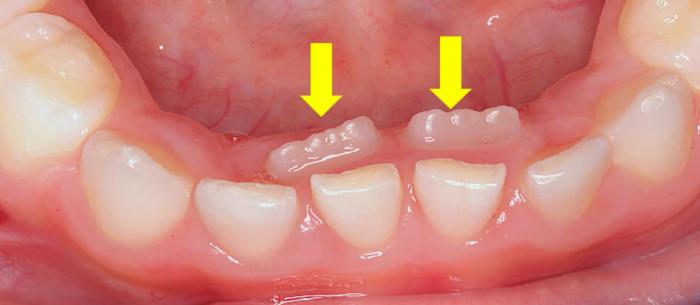
李一聪医师介绍,双排牙主要是指恒牙已经萌出,但乳牙并没有及时脱落,而造成乳牙和恒牙并列生长在颌骨、牙槽嵴上,进而导致恒牙偏离牙弓的情况,医学上称为乳牙滞留。除了乳牙滞留,另外多生牙也可以造成双排牙的发生。
![]()
![]()
出现双排牙怎么办?
1、可以先自行查看乳牙松动程度。如果前面的乳牙已经有明显松动,可以让孩子多啃食玉米、苹果等粗粮,等待自行脱落。
2、如果恒牙位置太靠内侧,远离乳牙牙根,乳牙牙根吸收量不够,牙齿松动度不足,自然脱落的可能性不大则建议去医院拔除乳牙,防止未脱落的乳牙会占据相应恒牙的位置,导致新萌出的恒牙侧方萌出,造成牙列不齐。
![]()
孩子在换牙期可能会出现很多情况,当我们发现孩子的牙没有按“套路”生长时,作为家长要保持耐心与信心,定期到口腔门诊检查孩子的牙齿健康状况,接受规范的治疗,让孩子长大后拥有一口健康、整齐的牙齿。
编辑:李丽君 审核:李莉 许莉珺

