人民至上,生命至上 湘南学院附属医院成功为新冠阳性患者实施手术
- 发布人:xnxy120
- 时间:2022-12-23
- 来源:
- 浏览量:2158
(通讯员 彭启华)近日,湘南学院附属医院医护团队充分做好术前准备,成功为一位新冠阳性患者实施复杂膝关节翻修手术。

为了得到更好的治疗,老人来到湘南学院附属医院就诊。骨二科主任李杨教授对老人进行了专科检查,根据患者的CT扫描数据,重建患者骨骼三维图,发现老人右膝关节内翻畸形明显,骨缺损严重,聚乙烯垫片磨损明显,目前较为适宜的治疗方式就是人工关节手术翻修,可李大娘术前新冠核酸检测结果显示她为阳性。“无论是新冠阳性患者还是普通患者,医护都全力以赴保障患者生命安全。”李杨教授说。
医务人员立即启动应急预案,在为患者制定治疗方案的同时着手病情评估、闭环转运、人员防护、病房准备、环境消杀……很快,一切准备就绪。“早在新十条刚刚落地的时候,我们就设置了阳性患者专用手术间,同时整合工作人员通道开辟出一条阳性手术患者专用通道。”手术室护士长彭林艳说,“我们妥善为老人做好了手术安排,李大娘的治疗丝毫没有因为她是新冠阳性患者而受到影响。”

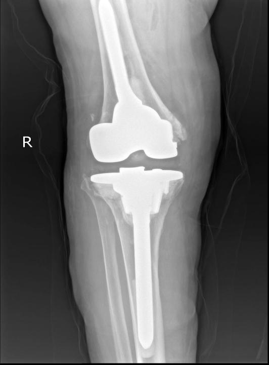
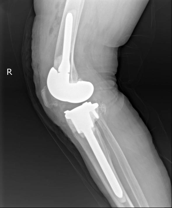
在充分做好个人防护的前提下,手术组医务人员分工协作、默契配合,整个手术过程有条不紊、十分顺利。手术完成后,李大娘被安全送返住院部单间隔离病房休养,术后X线检查发现,假体力线无偏差,髌骨轨迹良好,膝关节功能良好。李大娘和家人对治疗效果都非常满意。
此次“实战”为医院应对新冠阳性手术患者提供了宝贵的经验,也彰显了湘南学院附属医院人“人民至上,生命至上”的责任与担当。
69岁的李大娘家住郴州嘉禾,2012年因膝骨关节炎在外院行右侧全膝关节置换术,3年前开始出现右膝关节疼痛,上下楼吃力,下蹲困难,伴活动受限。近期以来,右膝活动受限加重,走路需拄拐,在当地医院就诊,诊断为右膝关节置换术后假体松动。

为了得到更好的治疗,老人来到湘南学院附属医院就诊。骨二科主任李杨教授对老人进行了专科检查,根据患者的CT扫描数据,重建患者骨骼三维图,发现老人右膝关节内翻畸形明显,骨缺损严重,聚乙烯垫片磨损明显,目前较为适宜的治疗方式就是人工关节手术翻修,可李大娘术前新冠核酸检测结果显示她为阳性。“无论是新冠阳性患者还是普通患者,医护都全力以赴保障患者生命安全。”李杨教授说。
医务人员立即启动应急预案,在为患者制定治疗方案的同时着手病情评估、闭环转运、人员防护、病房准备、环境消杀……很快,一切准备就绪。“早在新十条刚刚落地的时候,我们就设置了阳性患者专用手术间,同时整合工作人员通道开辟出一条阳性手术患者专用通道。”手术室护士长彭林艳说,“我们妥善为老人做好了手术安排,李大娘的治疗丝毫没有因为她是新冠阳性患者而受到影响。”

12月13日,李杨教授、陈鹏副教授、彭启华医师身穿防护服、佩戴医用防护口罩、正压防护头罩、手套等防护用品,按照预定手术思路进行右侧膝关节翻修术。手术中,医务人员取出了磨损松动的胫骨、股骨侧假体和聚乙烯垫片,充分清除关节周围增生及坏死组织后,反复推敲,精心设计,将股骨和胫骨假体分别安装植入,再植入14mm聚乙烯垫片。
在充分做好个人防护的前提下,手术组医务人员分工协作、默契配合,整个手术过程有条不紊、十分顺利。手术完成后,李大娘被安全送返住院部单间隔离病房休养,术后X线检查发现,假体力线无偏差,髌骨轨迹良好,膝关节功能良好。李大娘和家人对治疗效果都非常满意。
为进一步做好新冠病毒感染预防与控制工作,有效降低新冠病毒在医院内的传播风险,最大限度降低院内感染风险,在常态化疫情防控的同时保障医疗救治工作正常开展,湘南学院附属医院不断进行理论学习和操作演练,并制定出符合实际、行之有效的应急预案。
此次“实战”为医院应对新冠阳性手术患者提供了宝贵的经验,也彰显了湘南学院附属医院人“人民至上,生命至上”的责任与担当。
编辑:李丽君 审核:李莉 许莉珺

