- 发布人:xnxy120
- 时间:2024-01-24
- 来源:
- 浏览量:1132
本网讯(通讯员 向红珍)“谢谢您们,拆除了我脑袋里的这个‘定时炸弹’,我这颗悬着的心终于落地了”!出院时刘女士紧紧握住医生的手。
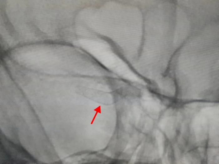
55岁的刘女士这两天莫名出现头晕头疼、感觉四肢无力。家人赶紧带她当地医院检查,检查结果让刘女士陷入了恐慌,因为CT检查提示右侧大脑中动脉M1段分叉处可疑动脉瘤。而颅内动脉瘤是一种常见的脑血管疾病,发病率高,破裂难以准确预测。但一旦破裂,致死率致残率极高,因此称之为“脑部定时炸弹”。夜不能寐的刘女士惴惴不安的来到湘南学院附属医院就诊,介入血管外科主任周定中评估病情后建议刘女士进一步住院检查并治疗。
![]()
![]()
入院后,通过对刘女士做了进一步检查,并完善了DSA脑血管造影,周定中发现患者右侧大脑中动脉M1段分叉处确实存在动脉瘤,更糟糕的是刘女士的动脉瘤呈“多发性”,病情复杂。周定中介绍,“刘女士的瘤颈较宽,传统术后宜复发,并且瘤体呈不规则形态,破裂风险大,瘤体位置还处于血管分叉处,手术中容易误伤其他重要血管,情况非常棘手!”
明确病情后,周定中立即组织介入血管外科团队进行讨论,科室专家一致认为该动脉瘤不规则,严重威胁患者生命安全,必须尽快治疗,但治疗过程需要兼顾动脉瘤闭塞效果、围手术期并发症控制及降低远期复发等多方面因素,最大限度保障刘女士健康。
![]()
周定中介绍说,“近年来,血流导向密网支架已经成为大型、宽颈等复杂脑动脉瘤的重要治疗手段。”这种治疗如同“大禹治水”,由过去的“堵”转为“疏”,通过在流经动脉瘤的血管处植入一条小小的血流导向密网支架,重塑载瘤动脉,将血流“导”往正常血管远端,实现动脉瘤的完全闭塞和治愈。讨论后决定选择新型血流导向密网支架无疑对刘女士的治疗更为安全有效。
完善术前准备后,周定中带领介入血管外科手术团队在麻醉科的紧密配合下,经过精细的术中操作,顺利进行了右颈内多发动脉瘤血流导向密网支架置入术。手术顺利完成,术中仅用时1个多小时,无任何并发症和不适。术后患者头晕头疼、四肢无力感消失,术后第四天,刘女士高兴地康复出院。
![]()
周定中主任介绍,血流导向密网支架置入技术是神经介入领域的新技术、新疗法,改变了传统治疗理念,将以往的颅内动脉瘤血管内治疗的理念由单纯“填坑”转变成了“重新铺路”,手术流程更为优化、手术时间进一步缩短、安全性更高、且远期疗效更好。
目前,湘南学院附属医院已引进多种血流导向密网支架,能满足多种类型复杂脑动脉瘤的介入治疗,为患者手术安全提供了良好保障。
编辑:李丽君 审核:李莉 许莉珺

