爱鸟的人士注意了,高热不退小心"鹦鹉热”
- 发布人:xnxy120
- 时间:2023-03-07
- 来源:
- 浏览量:1632
本网讯(通讯员 段小霞)近日,湘南学院附属医院呼吸内科收治了一例罕见的鹦鹉热感染病人。郴州市的廖大叔平日身体健朗,今年春节后不久突然不明原因高热,头昏,乏力,精神恍惚,走路不稳。家人以为是感冒,在诊所予以退烧消炎处理,数天过去不但没好转,症状越来越重,即送往湘南学院附属医院治疗。
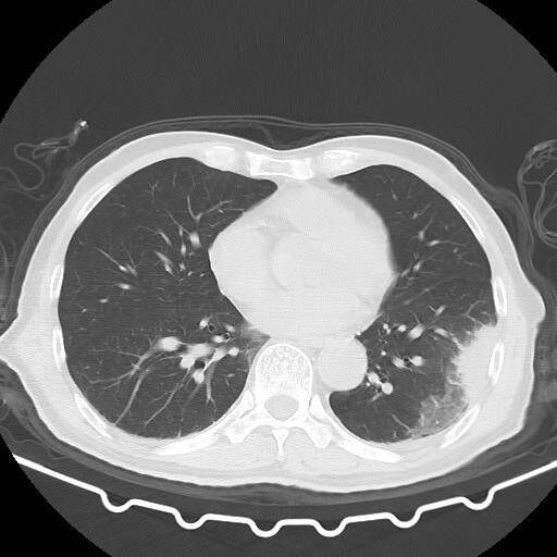
呼吸内科侯善群副主任医师接诊患者时,发现廖大叔神智不清,呼吸困难,口唇发绀,CT显示双肺大片肺炎,考虑衣原体肺炎。得知患者起病前有杀鸡经历,侯善群更加坚定了自己的判断,立刻给患者进行了支气管镜检查,肺泡灌洗液送检基因检测(NGS)。果不其然,导致其疾病的元凶正是一种名为"鹦鹉热衣原体"的微生物,也就是说,患者感染了鹦鹉热。

侯善群介绍,鹦鹉热又称鸟热,主要在多种鸟类之间传播,人类感染主要因为接触病禽和携带病原的鸟禽。这种疾病的救治关键在于准确诊断,及时治疗,主要表现为高热,咳嗽咳痰,肌肉痛,头痛,精神神经异常,易引起重症肺炎、心肌炎、肝肾损伤,严重时可导致呼吸衰竭,死亡率较高。
找到了病因后,治疗就有了方向,医务人员立即予以对症支持治疗,廖大叔的症状迅速得到缓解,退热,神智恢复,咳嗽改善,病情逐渐稳定,不久痊愈出院。
侯善群提醒道,“接触禽类必须注意卫生,清理鸟笼、鸟粪的时候,最好要带上手套、口罩等防护措施,勤洗手,保持环境通风,以免染病,出现症状务必及时就医。”
呼吸内科侯善群副主任医师接诊患者时,发现廖大叔神智不清,呼吸困难,口唇发绀,CT显示双肺大片肺炎,考虑衣原体肺炎。得知患者起病前有杀鸡经历,侯善群更加坚定了自己的判断,立刻给患者进行了支气管镜检查,肺泡灌洗液送检基因检测(NGS)。果不其然,导致其疾病的元凶正是一种名为"鹦鹉热衣原体"的微生物,也就是说,患者感染了鹦鹉热。

侯善群介绍,鹦鹉热又称鸟热,主要在多种鸟类之间传播,人类感染主要因为接触病禽和携带病原的鸟禽。这种疾病的救治关键在于准确诊断,及时治疗,主要表现为高热,咳嗽咳痰,肌肉痛,头痛,精神神经异常,易引起重症肺炎、心肌炎、肝肾损伤,严重时可导致呼吸衰竭,死亡率较高。
找到了病因后,治疗就有了方向,医务人员立即予以对症支持治疗,廖大叔的症状迅速得到缓解,退热,神智恢复,咳嗽改善,病情逐渐稳定,不久痊愈出院。
侯善群提醒道,“接触禽类必须注意卫生,清理鸟笼、鸟粪的时候,最好要带上手套、口罩等防护措施,勤洗手,保持环境通风,以免染病,出现症状务必及时就医。”
编辑:李丽君 审核:李莉 许莉珺

