“放疗”的自我介绍
- 发布人:xnxy120
- 时间:2023-07-01
- 来源:
- 浏览量:1621
本网讯(通讯员 尹朝晟 张媛)放射治疗(简称放疗)在肿瘤治疗中历史悠久并且非常重要。但很多肿瘤病人就诊时,内心充满疑惑:什么是放疗?什么情况需要放疗?放疗有什么优点啦?今天,就让“放疗”来做一段简单的自我介绍吧。
“我”是放射治疗的简称,可以利用电流、放射源等产生高能射线照射肿瘤,以达到精准杀灭、抑制肿瘤细胞的一种局部或区域治疗方式。
恶性肿瘤治疗的三大主要手段包括手术、放疗、化疗,根据世界卫生组织公布的数据,45%恶性肿瘤可以治愈,其中外科占22%,放疗占18%,化疗占5%。此外,70%恶性肿瘤患者在病程的不同阶段需要接受放疗。
“我”可以分为根治性,辅助性、姑息性三种放疗方式。
根治性放疗,顾名思义,就是患者通过放疗就可以得到疾病根治的目的。
辅助性放疗则与手术有关。手术前的放疗有助于缩减肿瘤的体积,使其后的手术切除更为顺利有效。手术后的放疗则可消灭手术无法完全切除的残余肿瘤组织或癌细胞;常用于头颈癌、乳腺癌、直肠癌、脑瘤、子宫肿瘤等。
姑息性放疗则大部分用于改善患者生活质量,避免转移肿瘤带来的伤害。如骨骼转移、肺部、脑部的转移瘤、腹腔内转移及泌尿系统阻塞等,减缓各癌症转移症状。以改善病人生活品质,给病人更舒适缓和的生活并尽可能的延长患者的生存期为首要目标。
不同的恶性肿瘤患者,需要专业的放疗科医生来评估病情并决定放疗指征。
1.效果明显、安全性高。通过现代化放疗设备、可精准、安全的为患者提供放疗;治疗效果明显,治疗方法安全可靠。
2.治疗首选。不可进行手术、肿瘤转移、患者年龄大、不能耐受其他药物治疗的病人,均可放疗。
3.适用范围广。放射治疗,可用在早、中、晚期的各类常见肿瘤的治疗。
4.治疗方便。治疗过程简单,无痛苦,不一定需要住院治疗。
5.副作用少。可避免手术造成的麻醉意外、输血反应、术后感染,及化疗造成的脱发、呕吐等副反应。
6.不需要切除器官、无创口。放疗为非创伤性治疗,可保留患病器官的生理功能。
TOMO放疗有什么优势?
为了让“我”的优点发挥的更加明显,让更多的患者能够在“我”的治疗下得到痊愈。湘南学院附属医院引进的TomoTherapy(简称TOMO)——螺旋断层放疗系统,属于最新一代放射治疗设备。是目前唯一采用放疗照射与CT同源的影像引导放疗系统。成像精度高达±0.1mm,远远高于常规加速器。
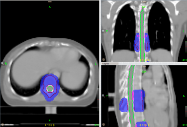
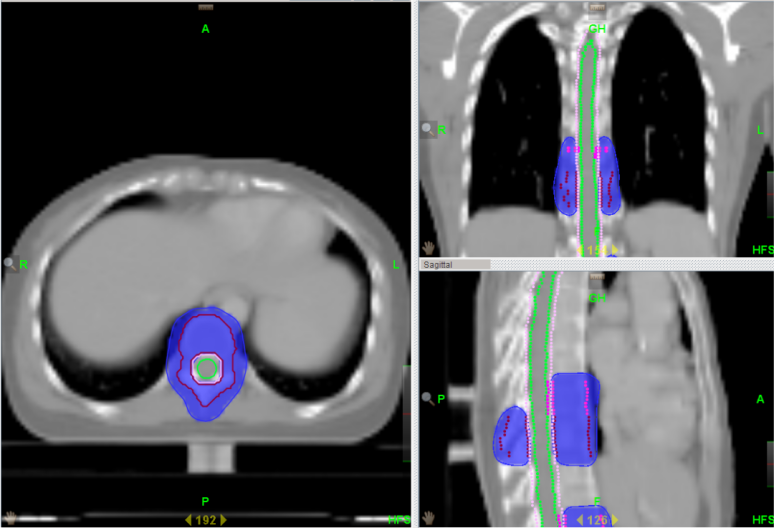
1、对全身多发病灶及病变较长的大肿瘤,超出普通加速器治疗所能达到的范围,常规放疗往往不能同时包括,TOMO能够实现连续同时完成照射。包括易通过淋巴转移产生多病灶的恶性肿瘤、全脑全脊髓和全身骨髓调强照射等。

“我”是放射治疗的简称,可以利用电流、放射源等产生高能射线照射肿瘤,以达到精准杀灭、抑制肿瘤细胞的一种局部或区域治疗方式。
恶性肿瘤治疗的三大主要手段包括手术、放疗、化疗,根据世界卫生组织公布的数据,45%恶性肿瘤可以治愈,其中外科占22%,放疗占18%,化疗占5%。此外,70%恶性肿瘤患者在病程的不同阶段需要接受放疗。
什么情况需要放疗?
“我”可以分为根治性,辅助性、姑息性三种放疗方式。
根治性放疗,顾名思义,就是患者通过放疗就可以得到疾病根治的目的。
辅助性放疗则与手术有关。手术前的放疗有助于缩减肿瘤的体积,使其后的手术切除更为顺利有效。手术后的放疗则可消灭手术无法完全切除的残余肿瘤组织或癌细胞;常用于头颈癌、乳腺癌、直肠癌、脑瘤、子宫肿瘤等。
姑息性放疗则大部分用于改善患者生活质量,避免转移肿瘤带来的伤害。如骨骼转移、肺部、脑部的转移瘤、腹腔内转移及泌尿系统阻塞等,减缓各癌症转移症状。以改善病人生活品质,给病人更舒适缓和的生活并尽可能的延长患者的生存期为首要目标。
不同的恶性肿瘤患者,需要专业的放疗科医生来评估病情并决定放疗指征。
放疗有什么优点?
1.效果明显、安全性高。通过现代化放疗设备、可精准、安全的为患者提供放疗;治疗效果明显,治疗方法安全可靠。
2.治疗首选。不可进行手术、肿瘤转移、患者年龄大、不能耐受其他药物治疗的病人,均可放疗。
3.适用范围广。放射治疗,可用在早、中、晚期的各类常见肿瘤的治疗。
4.治疗方便。治疗过程简单,无痛苦,不一定需要住院治疗。
5.副作用少。可避免手术造成的麻醉意外、输血反应、术后感染,及化疗造成的脱发、呕吐等副反应。
6.不需要切除器官、无创口。放疗为非创伤性治疗,可保留患病器官的生理功能。
TOMO放疗有什么优势?
为了让“我”的优点发挥的更加明显,让更多的患者能够在“我”的治疗下得到痊愈。湘南学院附属医院引进的TomoTherapy(简称TOMO)——螺旋断层放疗系统,属于最新一代放射治疗设备。是目前唯一采用放疗照射与CT同源的影像引导放疗系统。成像精度高达±0.1mm,远远高于常规加速器。
与普通的“我”相比,TOMO放疗有以下优势:
1、对全身多发病灶及病变较长的大肿瘤,超出普通加速器治疗所能达到的范围,常规放疗往往不能同时包括,TOMO能够实现连续同时完成照射。包括易通过淋巴转移产生多病灶的恶性肿瘤、全脑全脊髓和全身骨髓调强照射等。

2、对解剖结构复杂等难治性、特殊的恶性肿瘤更具优势。包括鼻咽部肿瘤、全颅骨放疗、头皮恶性肿瘤、胸壁恶性肿瘤等。
3、对紧邻重要脏器或组织的恶性肿瘤,如肿瘤紧邻肝、肾、肺、鼻咽、前列腺等重要器官时,由于这些脏器对射线敏感,往往制约常规放疗放射剂量的提高,TOMO能够避开重要器官,降低副反应的同时提高放射剂量,使得既往不易放疗的患者变为可以放疗。
编辑:李丽君 审核:李莉 许莉珺






