- 发布人:xnxy120
- 时间:2024-01-26
- 来源:
- 浏览量:2522
本网讯(通讯员 李荣 朱晟)肺部疾病是比较常见的一类病变,尤其是肺癌,是目前国内发病率最高的恶性肿瘤。PET-CT作为一项先进的检查技术,利用发射正电子的放射性核素(以F18为主)标记的显像剂获得功能影像,并与CT获得的解剖影像相融合,相比作用单一的CT检查或PET检查更有优势,在肺部疾病诊疗过程中有着重要作用。
目前临床中主要应用的显像剂是F18标记的脱氧葡萄糖(F18-FDG),今天就让湘南学院附属医院核医学科来带大家全面了解一下 F18-FDG PET-CT检查在肺部疾病中的几大应用。
PET/CT能更好的鉴别肺部疾病的良恶性病变诊断
由于F18-FDG PET-CT检查可以同时观察病灶的解剖特点与代谢强度,两者相结合能更好的对病灶进行定性诊断,在肺部良性病变(错构瘤、硬化性肺细胞瘤、肺结核、肺部真菌感染、支气管囊肿等)与肺部恶性肿瘤(肺鳞癌、腺癌、小细胞癌、肉瘤等)鉴别中具有较高的灵敏度及准确率。
PET-CT能更好的明确肺部恶性肿瘤的分期
F18-FDG PET-CT是一项全身检查(头颅到大腿根部),其另一重要作用则是对恶性肿瘤的整体评估及分期。2022版中华医学会肺癌临床诊疗指南中将PET-CT检查作为肺癌临床分期的重要辅助检查。通过一次全身F-18-FDG PET-CT检查,可以发现胸部以外的转移灶,如胸部以外的淋巴结转移、脏器的转移、骨骼以及肌肉的转移等。
![]()
PET-CT可以应用于肺部恶性肿瘤保守治疗后的疗效评估
对于行放疗、化疗、靶向治疗、免疫治疗等治疗的肺部恶性肿瘤,对治疗前与治疗后两次F-18-FDG PET-CT的图像进行比较,通过观察病灶大小、代谢等的变化以评估治疗的效果以及治疗方案的可行性。
![]()
PET-CT可以应用于肺部恶性肿瘤术后的复发转移监测
F-18-FDG PET-CT检查的高灵敏度可以发现早期的复发或转移灶,结合异常增高的肿瘤标志物(CEA、NSE等),可以更加准确的发现隐匿转移灶。
![]()
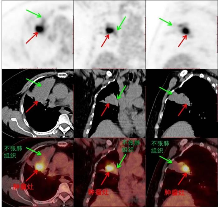
PET-CT能为肺部恶性肿瘤放疗靶区勾画提供参考
F-18-FDG PET-CT检查的功能成像能对肺部恶性肿瘤放疗靶区的勾画提供参考,对于肺癌合并阻塞性肺炎或肺不张的病灶,通过F-18-FDG代谢明确肿瘤灶的实际范围,避免非肿瘤组织的额外照射。
此外,F-18-FDG PET/CT可以引导肺部病变穿刺活检部位,尤其是密度不均伴有坏死的病灶,通过F-18-FDG PET/CT图像引导其穿刺代谢较高的病变部位,提高穿刺结果阳性率;其次,F-18-FDG PET/CT可以寻找肺部转移性病变的原发灶,为患者得到最合适的治疗提供重要依据。
![]()
编辑:李丽君 审核:李莉 许莉珺

