七旬老人冠脉血管完全闭塞,医务人员争分夺秒妙手施救
- 发布人:xnxy120
- 时间:2023-02-17
- 来源:
- 浏览量:1641
本网讯(通讯员 李华峰)家住资兴的雷大爷今年74岁了,三天前感觉到胸部疼痛,并且逐渐加重,由家人拨打120紧急送入湘南学院附属医院就诊。
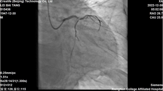
医院为老人完善心电图等检查,诊断为“急性心梗”,立即开通胸痛中心绿色通道,直接将患者送入导管室实施了急诊冠脉造影手术。“当时老人下左冠状动脉所发出两支大血管在造影时完全没有显影,意味着左主干完全闭塞,病情十分危急,随时有心脏骤停风险。”主管医生李华峰说。

时间就是心肌,时间就是生命!心血管内二科团队立即行动,协作配合,根据手术策略,在最短的时间内为患者实施了冠状动脉内溶栓术及球囊扩张术,快速开通了闭塞的血管,影像显示前向血流恢复良好。就在家属稍稍感到松口气的时候,医务人员却仍旧不敢有一丝懈怠。李华峰医生说,“根据患者病情,术后恢复期一样至关重要,老人依然有随时出现心衰的可能。”医务人员始终守护在老人身边,密切关注着他的生命体征变化,情况果然如李华峰所料,当天晚上老人出现双侧大量胸腔积液的情况。早有准备的医务人员及时为他行双侧胸腔穿刺置管引流术,同时予以积极抗心衰治疗。一周后,老人的病情终于逐渐稳定。

为了避免急性心梗再度复发,老人在医务人员的建议下接受了冠脉超声指导下冠状动脉支架置入术,心血管内二科团队根据老人实际病情,采取“T支架技术”,为老人撑起了一条通畅的血管通路。
心血管内二科主任李维军介绍,有数据显示左主干病变的死亡率超过90%,雷大爷能及时送入医院行急诊手术,挽救了大量心肌细胞,得到良好的长期预后效果,主要得益于医务人员争分夺秒的救治和医院近年来对于胸痛中心的建设。医院胸痛中心自启动以来,积极按照国家胸痛中心标准,开设胸痛专项绿色通道,不断优化就诊流程,极大提高了患者抢救成功率。
医院为老人完善心电图等检查,诊断为“急性心梗”,立即开通胸痛中心绿色通道,直接将患者送入导管室实施了急诊冠脉造影手术。“当时老人下左冠状动脉所发出两支大血管在造影时完全没有显影,意味着左主干完全闭塞,病情十分危急,随时有心脏骤停风险。”主管医生李华峰说。

时间就是心肌,时间就是生命!心血管内二科团队立即行动,协作配合,根据手术策略,在最短的时间内为患者实施了冠状动脉内溶栓术及球囊扩张术,快速开通了闭塞的血管,影像显示前向血流恢复良好。就在家属稍稍感到松口气的时候,医务人员却仍旧不敢有一丝懈怠。李华峰医生说,“根据患者病情,术后恢复期一样至关重要,老人依然有随时出现心衰的可能。”医务人员始终守护在老人身边,密切关注着他的生命体征变化,情况果然如李华峰所料,当天晚上老人出现双侧大量胸腔积液的情况。早有准备的医务人员及时为他行双侧胸腔穿刺置管引流术,同时予以积极抗心衰治疗。一周后,老人的病情终于逐渐稳定。

为了避免急性心梗再度复发,老人在医务人员的建议下接受了冠脉超声指导下冠状动脉支架置入术,心血管内二科团队根据老人实际病情,采取“T支架技术”,为老人撑起了一条通畅的血管通路。
心血管内二科主任李维军介绍,有数据显示左主干病变的死亡率超过90%,雷大爷能及时送入医院行急诊手术,挽救了大量心肌细胞,得到良好的长期预后效果,主要得益于医务人员争分夺秒的救治和医院近年来对于胸痛中心的建设。医院胸痛中心自启动以来,积极按照国家胸痛中心标准,开设胸痛专项绿色通道,不断优化就诊流程,极大提高了患者抢救成功率。
编辑:李丽君 审核:李莉 许莉珺

